We created this page after we received a number of unprompted emails from patients with positive feed-back about their experience through our practice. We then realised that it is important for future patients to know those stories and be reassured about the interaction during consultations and about the possible impact of recommended treatment on their quality of life.

If you are a patient of ours please share your experience here:
REVISION ACL SURGERY
"High Level of Empathy and Professionalism"
I am an active PE and Maths teacher who has always enjoyed playing a range of sports. Around ten years ago, I tore my right ACL playing basketball and after a long and painful recovery lasting 8 months to a year, I struggled to regain my fitness, but returned to playing sport. After 2/3 years of training and playing I ruptured my left ACL. This time, I went to a different surgeon. Both experiences with the surgeons were similar, somewhat impersonal.
Read more
ACL RECONSTRUCTION
"Exceptionally Professional Surgery & Follow-Up"
I had a skiing accident and ruptured my ACL. Within a few days of my return home I had an appointment and discussion with Mihai about my options and likely time frames which was very important to me both for work, and, as I was emigrating to Australia within a few months. I was extremely happy with the care that I received having opted to go ahead with surgical reconstruction. My physiotherapist was amazed by my quick recovery and minimal scarring. On leaving Ireland I was even given contacts in
Read more
ACL RECONSTRUCTION & MENISCAL REPAIR
"Returned to play stronger than before"
I ruptured my ACL while playing GAA for my school in an Under 16’s Leinster Colleges’ semi-final, February 2016. I had a scan which confirmed ACL rupture and torn meniscus. I was 15 years old at the time and playing a lot of football for my club, school and county. I was not expecting this news and the prospect of having to miss 9-12 months of football was quite devastating. 
Read more
REVISION ACL RECONSTRUCTION
"Returned to rugby after 6-7 months"
I came to Mr Mihai Vioreanu having two failed previous ACLs. I was struggling to walk upstairs and had discomfort walking and jogging.
Read more
ACL RECONSTRUCTION
"Inspiring Experience & Return to International Level"
My name is David Ryan and I am sixteen years old. In October of 2015, I ruptured my left ACL playing basketball. Up until then I was an international athlete and played basketball at national level. After my injury, I was extremely worried that my dream of becoming an international athlete and Olympian was over. When I told people I had an ACL rupture, they gave me the impression that I would never return to sport again. On my first visit, I was reassured by Mr. Mihai Vioreanu that I could make
Read more
ACL RECONSTRUCTION
"Quick & Pain Free Recovery"
I had an accident while I was in Bosnia and the doctors there placed a cast on my leg and advised me not to walk at all on that leg. Based on a friend recommendation I rang Mr. Vioreanu's office and Gwen, his receptionist was very nice to schedule an appointment. Mihai got rid of the cast the minute he saw me. I was asked to go to do a pre rehab in order to build back the muscles and improve my knee movement. Within 2 weeks I had my ACL reconstructed. It was very successful.
Read more
ACL RECONSTRUCTION
"I couldn't be happier with the results of my surgery"
Several weeks after completing my undergraduate studies as a physiotherapist, I ruptured my ACL playing football. I knew the severity of the injury and felt I had a good grasp of its implications, but none the less I was nervous about the prospect of surgery and subsequent rehab. My physio recommended Mr Vioreanu as he had referred several patients to him for ACL surgery in the past and had received nothing but excellent feedback from them.
Read more
ACL RECONSTRUCTION
"Back on the slopes"
I am now 10 months post surgery and just back from a 10 day skiing holiday! I was able to ski the whole time pain free, the knee was a little weaker than usual, but to be expected. I am now also back into running and usually go for a 4k run 3 times a wee
Read more
ACL RECONSTRUCTION
"Stronger than before the injury"
I had ACL reconstruction with Mr Mihai Vioreanu after suffering a freak accident during a rugby game. After surgery I followed Mihai's rehabilitation program under guidance from my club physio. After 6 months I am now weight lifting the same as before my injury, participating in team training's while not suffering any pain and running very comfortably
Read more
ACL RECONSTRUCTION WITH EXTRA-ARTICULAR ITB TENODESIS
"Returned to GAA stronger than before the injury"
I am currently a 6th year student an I tore my ACL in a Gaelic football blitz in 2017. Mihai diagnosed the rupture in my left knee. I was heartbroken as soon as he told me the news, as sport was such a huge part of my life, but his empathy and reassurance comforted me to go through with the surgery.
Read more
NON-OPERATIVE TREATMENT
"Appropriate diagnosis and rehabilitation made a major difference"
I am 37 years old CEO and met Mr. Mihai Vioreanu after an 18 months of continuous knee pain following surgery that did not worked well and a wrong rehabilitation performed in a different clinic. Mr. Vioreanu was the fifth orthopaedic surgeon in Europe to evaluate me in 18 months and the only one who was able to determine right away the source of my knee pain.
Read more
FOREARM FRACTURE FIXATION
"Thorough gentleman allied to his professional competence"
When I recently broke my forearm in two places I was under considerable pain. I had however the good fortune to be introduced to Mr Vioreanu shortly thereafter who then performed surgery on my arm in SSC. I was immediately struck by his professionalism and the fact that the patient was the centre of his focus. Despite a delay on the day of surgery, he took time out of his theatre work to visit me, explain the cause of the delay and tell me when the operation would take place later on in the da
Read more
NON-OPERATIVE TREATMENT
Conservative treatment for meniscal tear better than surgery
I have torn meniscus in both knees from playing football. I found out about three years ago when after an MRI scan immediate surgery was recommended in a different clinic. I was a bit reluctant to have surgery and I started seeking alternative treatments. Mr Mihai Vioreanu was recommended. I had my appointment with Mr Mihai Vioreanu almost two years ago. During a very detailed and in depth consultation he explained to me the nature of my condition and that in my case light exercise and cycling
Read more
RIGHT PATELLA OPEN REDUCTION AND INTERNAL FIXATION
"Pushing for World Championship medals"
I just wanted to write to you and your team and express my thanks for the care and effort you put in to a very successful surgery after a very significant injury. You performed a right patella open reduction and internal fixation on 29/10/14 and 11 months after the surgery I won 2 European gold and silver medals at the European Surf-Lifesaving Championships in Spain.
Read more
KNEE ARTHRITIS TREATMENT
"Mihai put me at ease as soon as I walked into his clinic"
I have severe arthrtis in my knee at a very young age (40 yo) and I'm trying to delay having a knee replacement. Mr Vioreanu immediately put me at ease as soon as I walked into his clinic. Mihai took his time to answer all my questions and concerns and I walked away feeling that now I had a plan in place to manage my knee condition.
Read more
NEW PATIENT CONSULTATION
"I have experienced a world-class service !"
I can of course only judge by his consultation but I was hugely impressed with his manner, his thoroughness and his explanations.   
Read more
Patello-femoral syndrome - Conservative Treatment
Highly recommend using the online consultation & physio
The entire experience, although it happened online it gave me confidence and reassured me that with the appropriate rehabilitation for my knee complaint, that I will improve.
Read more
NEW PATIENT CONSULTATION
"Fantastic communication, straight to the point and without medical jargon."
It is fantastic that a consultant like Mr. Vioreanu can communicate with his patients in a way that removes the medical jargon and get straight to the point.
Read more
ACL Reconstruction
"Extraordinary doctor"
Before saying that you are an extraordinary doctor, I want to tell you that you are an extraordinary human being. Thanks for showing me so much care and concern. Thank you for your patience, professionalism, hard work, and commitment to excellent medical care. As a doctor, you’ve gone above and beyond everything, I ever would have expected. The world would be a much better place if all of the doctors were like you.  Thank you so much for everything that you and the ful
Read more
NON OPERATIVE TREATMENT
"I feel blessed that I was referred to Mihai"
I feel utterly blessed that I was referred to Mihai. He is an outstanding orthopedic surgeon with global experience and his interpersonal skills are second to none. With his help, I have avoided surgery and I have minimal pain.
Read more
TOTAL HIP REPLACEMENT
"Incredible experience improving my life"
Mr. Vioreanu is an incredible surgeon who significantly improved my mobility and quality of life in just 2 days after hip replacement surgery! 
Read more
TOTAL HIP REPLACEMENT
"Thoroughly Professional Care"
I had my hip replaced with Mr. Vioreanu last year. I was suffering for years with my hip but it was only afterwards I realised how much pain and discomfort I was living with. From the first time I met Mihai I felt comfortable with the man who eventually would be operating on me. He explains things in a manner that even a novice like myself can understand.
Read more
TOTAL HIP REPLACEMENT
"Walking poles only two weeks after surgery - I am so happy"
As a woman in her sixties, who has always been active, I was delighted to be introduced to Mr Vioreanu. A friend had recommended me to him as her GP was impressed with her rapid recovery. At the consultation the information was clear and I was given a very informative booklet to take away and study. I was admitted on a Tuesday morning, operated on Tuesday afternoon and home on Thursday evening.
Read more
TOTAL HIP REPLACEMENT
"Very down to earth & Accessible at all times"
I attended the Beacon Hospital for almost nine years and the Hip and Knee Specialist was trying to bring my right knee 'back from the brink' with daily pain killers and injections. I decided to go attend Mr. Mihai Vioreanu and I liked him instantly. He told me that my right hip was causing most of my knee problems. I accepted what he said and had a Total Hip Replacement in April 2018. Life has been great since as I no longer take pain killers and I have no pain in my knee.
Read more
TOTAL HIP REPLACEMENT
"Nothing was ever too much bother, whatever the request"
To all the staff at Sports Surgery Clinic. Just 6 weeks ago I received a hip replacement at your clinic and would like to take a few moments to express my sincere gratitude for the care and attention I received during my stay. From the very first moment of making contact with the clinic through a telephone enquiry, to the stages that followed - the first consultation, checking in, my pre op consultation, until my discharge 3 days later;
Read more
TOTAL HIP REPLACEMENT
"A New lease of Life totally pain free"
I would just like to thank Mr Vioreanu for the fantastic work which he performed on my hip which was really badly deteriorated and I was in agonising pain and discomfort to the point of struggling to walk. I attended his clinic and had a diagnosis and scan immediately, and successful surgery within two weeks.
Read more
BILATERAL HIP REPLACEMENT
"Getting my life back"
I'm so trilled with my new hips I thought I'd email you to fill you in on what they are doing for me: Climbed a gate with ease about 2 weeks ago, something I haven't been able to do for a few years. Did a 16km canal walk last week with ease and even better no grumbling legs/joints afterwards
Read more
Total Hip Replacement
" My Highest Recommendation "
A perfect schedule, excellent briefing, completely detailed. My recovery post discharge was rapid and I'm extremely grateful for choosing Mr. Mihai Vioreanu as my specialist.
Read more
Total Hip Replacement
"Dr. Vioreanu went out of his way for me"
Dr Vioreanu really went out of his way for me and after only 2 weeks I was having the surgery. I couldn't  believe how lucky I was. The surgery went very well and I could walk with no pain straight away after the operation.
Read more
Bilateral Revision Hip Replacement
" I can't express this clearly enough: you've come to the right surgeon! "
In my many decades' experience with hip operations Mihai Vioreanu has stood out for two reasons: the exceptional skill he brings to his surgeries, and the depth of empathy, humanity and kindness he shows to his patients.
Read more
BILATERAL KNEE REPLACEMENT
"Enjoying Every Minute of It"
After many years of discomfort with both knees, endless amounts of injections, and getting nowhere I met Mr Vioreanu at the Sports Surgery Clinic in December 2014.
Read more
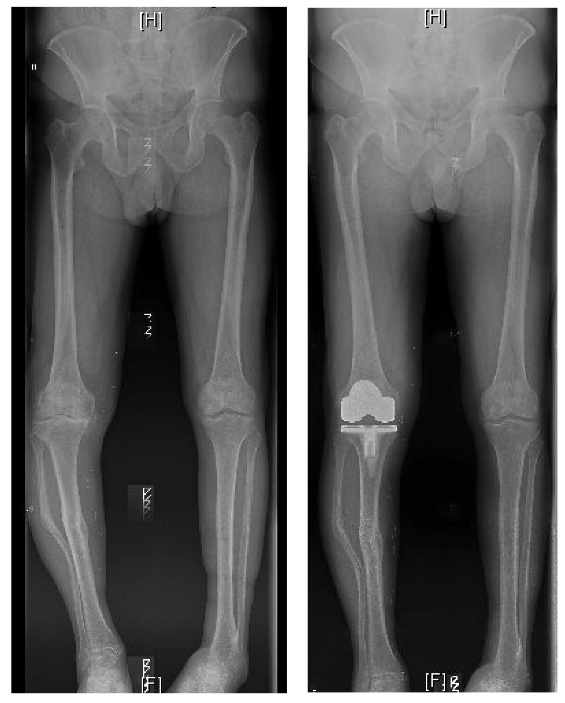
TOTAL KNEE REPLACEMENT
"Able to walk pain-free again"
I had a knee replacement operation in October 2015 in the Sports Surgery Clinic and I would like to share my experiences with other people. I had my pre-assessment 3 weeks prior to my operation which was done so efficiently and where all information was relayed back to me very shortly afterwards. During the consultation with Mr. Mihai Vioreanu there was nothing left for me to ask as he explained the full procedure very clearly and he informed me about everything in full detail.
Read more
TOTAL KNEE REPLACEMENT
"If you need a knee replacement go for it"
I waited 7 years and am sorry I did. I got my new knee in Sept 2017 with Mr. Vioreanu and never looked back! It is the best thing I have done. Mr Vioreanu and his staff are so friendly and professional. Follow up is wonderful and everything seems easy and natural to them.
Read more
TOTAL KNEE REPLACEMENT
"I knew from an early stage that I was in safe hands"
I would like to thank you for the excellent and professional service that was provided in dealing with my knee surgery back in May of 2015. Your wonderful personality made me feel at ease and I knew from an early stage that I was in safe hands. After my surgery, your daily visits gave me the confidence and assurance to get back on my feet, albeit on crutches, and within 3 days I was home.
Read more
BILATERAL TKR SURGERY
"Back to playing bowls pain free"
At 82 years of age I had both my knees replaced at Santry Sports Clinic by Mr. Mihai Vioreanu, who came highly recommended. I had my first consultation with Mr.Vioreanu in mid-july 2016, and was very impressed with how he explained the whole procedure to me, including the emphasis he put on the importance of doing the exercises, both pre and post op. Very down to earth, and made me feel, ‘ok let’s go, let’s get on with it’.
Read more
BILATERAL SIMULTANEOUS KNEE REPLACEMENTS
"Pain free and no limp at 3 months"
I am 40 years old and Mihai performed bilateral, simultaneous full knee replacement surgery for me just over three months ago. The surgery was a complete success. I now walk pain free and without any limp. I am living my life to the full again. I will be forever grateful for the outstanding level of care I received from Mihai and his clinical and admin teams.
Read more
BILATERAL KNEE REPLACEMENT
"Enjoying a whole New Way of Life"
On the 27 January 2016 I had a decision to make - my two knees had been paining me for the last 5 years - but in the past year they had gotten considerably worse, to the point where I found it difficult to walk or play golf. I checked the Sport Surgery Clinic in Santry and reading Mr. Mihai Vioreanu's web page, I was very impressed by his experience of hip and knee replacement surgery.
Read more
PARTIAL KNEE REPLACEMENT
" What a difference! Mr. Vioreanu is excellent."
After a year in pain and a previous faulty operation in which they removed a part of a cartilage essential for walking, my husband got a half a knee replacement.
Read more
Total Knee Replacement
"Amazing pain free experience"
The level of professionalism from my first meeting to my post operative reviews was exceptional.
Read more
BILATERAL KNEE REPLACEMENT
"There is nothing I can't do"
At one year after surgery, I can say it was the best thing I did as I never looked back. I am active and still working full time. There is nothing I can't do. 
Read more
HIGH TIBIAL OSTEOTOMY
I am now more active than I have been in many years
I had High Tibial Osteotomy surgery with Mr Mihai Vioreanu in November 2016. Having osteoarthritis in my left knee left me unable to enjoy a normal active life without pain if I spent long periods walking or standing.
Read more
HIGH TIBIAL OSTEOTOMY
"Enjoying an active life"
I had High Tibial Osteotomy surgery with Mr Mihai Vioreanu in February 2015. I had been in terrible pain with my knee in 2014 following arthroscopic 'clean-out' performed in a different hospital. Mr Vioreanu was excellent during all my consultations with him. He spoke openly and plainly about the surgical procedure in layman's terms. He thoroughly discussed all the pros and cons involved. Mihai was always ready and available to assist me after surgery. I am now back to a normal lifestyle and en
Read more
High Tibial Osteotomy
"Best decision I made"
I decided to go for it and can honestly say it was one of the best decisions I made. 6 months later and I'm walking and hiking pain free, performing all manner of exercise and am working towards running/jogging.
Read more
BILATERAL HIGH TIBIAL OSTEOTOMY
"Mihai professionalism and experience is top class"
Mihai put a plan in place over three years to carry out surgery on both legs. The surgeries were a great success.
Read more
KNEE ARTHROSCOPY
"What a super service"
After a consultation with Mr. Mihai Vioreanu with a knee problem I was 100% confident I was with the right person to have the planned procedure with. Now 16 day's post operation I had some questions about my recovery. So I dropped an email to Mihai. What a super service! I received a prompt response to my query and all this on a Sunday afternoon.
Read more
MENISCAL SURGERY
"A true professional with a feel for the game."
I damaged the medial ligament and tore my meniscus in the right knee while playing football. My local physiotherapist told me I was extremely lucky not to damage the ACL and that I should perhaps consider whether or not I wanted to continue playing my beloved sport. I spent the next 12 weeks working hard using physiotherapy exercises to rehabilitate the medial ligament while hoping that the meniscus would naturally heal too. Unfortunately it did not, so fearing the worst I visited Mr. Vioreanu f
Read more
MENISCAL TEAR SURGERY
"Very Professional and Excellent Job"
I twisted my knee in December 2015 and I thought I was going to walk it off. After 2 weeks I still felt as the knee was slipped out of position. I waited 1 month and went for MRI that showed a tear in my meniscus. As I have always been active, playing football, gym and running I suspected the tear might have been there for a while. After some research I found Mr Mihai by chance on the internet in relation to Sports Surgery Clinic in Dublin.
Read more
MENISCAL REPAIR
"Return to long distance running"
Dear Mihai. Three years after surgery my knee feels entirely normal. I just finished a 10 km marathon in Toronto for charity . All possible because of your surgical skills. Thank you for preserving my meniscus and making possible for me to return to long distance running.
Read more
KNEE ARTHROSCOPY
"My knee surgery has been done so well that, like it never happened."
I never thought I will say that but I nearly want to go back for another surgery. The whole experience dealing with Dr. Mihai Vioreanu has been very professional but yet having a personal approach all mixed with the highest work ethics.
Read more
MENISCAL TEAR SURGERY
"Impecable experience!"
Mr. Vioreanu operated my tore meniscus and the whole experience was impeccable.
Read more
MENISCAL SURGERY
"Amazing experience"
Mr. Mihai Vioreanu, his team, and the SSC staff are a wonderful and professional team!! I felt comfortable, safe, and guided by with the most professionalism all the time.
Read more
KNEE ARTHROSCOPY & ITB RELEASE
"Absolutely top class & professional surgery and rehabilitation"
I would have great confidence in recommending Mihai to a team mate, family member or friend.
Read more
KNEE ARTHROSCOPY & ITB RELEASE
"From the first time I met with Mihai I felt like I was in safe hands."
I would highly recommend Mihai to anyone with troublesome knee pain. The service Mihai and Bláithín provided was excellent from my first consultation right through to my last post op rehabilitation session.
Read more
KNEE ARTHROSCOPY
"Thank you for taking me under your care"
Thank you for taking me under your care.
Read more
ACL Repair
Extremely convenient online consultations & physio sessions
After my ACL Repair surgery Mr. Vioreanu organized online consultatioons and physiotherapy sessions which were extremely convenient and helpful.
Read more
Knee Arthroscopy
Online follow up with Consultant & Physiotherapist - Amazing experience"
Absolutely Recommended !!! Mr. Mihai Vioreanu, his team, and the SSC staff are a wonderful and professional team!! I felt comfortable, safe, and guided by with the most professionalism all the time.
Read more
Patello-femoral syndrome - Conservative Treatment
Highly recommend using the online consultation & physio
I would highly recommend using the online consultation and physio services as an alternative during the restrictions due to Covid-19 and would also highly recommend Mr. Mihai Vioreanu and his team.
Read more
New Patient Consultation
I have experienced a world-class service !
Thank you for referring me to Mr. Mihai Vioreanu. I was hugely impressed with his manner, his thoroughness and his explanations. I experienced a world-class service.  
Read more
Knee Arthroscopy & ITB Release
Top class surgery & rehabilitation
On reflection on the treatment received by Mihai & Blaithin it was absolutely top class and professional.
Read more
KNEE ARTHROSCOPY & ITB RELEASE
"From the first time I met with Mihai I felt like I was in safe hands."
I would highly recommend Mihai to anyone with troublesome knee pain. The service Mihai and Bláithín provided was excellent from my first consultation right through to my last post op rehabilitation session.
Read more
ACL RECONSTRUCTION
Exceptionally Professional Surgery & Follow-up
As a GP and a patient I can fully appreciate the quality of care I received having my ACL reconstruction done with Mr Vioreanu. I had a skiing accident and ruptured my ACL. Within a few days of my return home I had an appointment and discussion with Mihai about my options and likely time frames which was very important to me both for work, and, as I was emigrating to Australia within a few months. I was extremely happy with the care that I received having opted to go ahead with surgical reconst
Read more
GENERAL PRACTITIONER
An absolute gentleman and highly skilled surgeon
I have dealt with Mihai as both a GP and as a patient. I am a GP in Roscommon and ruptured my cruciate ligament on the GAA pitch in Sept, 2014, 5 weeks before my wedding day. I wanted to get it sorted and on the road to recovery ASAP. Having had the MRI and the leg in otherwise excellent shape, Mihai deemed me suitable to have the surgery 2 weeks after the injury.
Read more
GENERAL PRACTITIONER
Exceptional professional interaction
I would highly recommend Mr Mihai Vioreanu to any of my patients in need of a knee or hip-related professional opinion. My professional experience with Mihai is an exceptional one and I am constantly re-assured by my patients treated by Mr. Vioreanu.
Read more
CHARTERED PHYSIOTHERAPIST
Highest standard of care & Excellent recovery rates for our players
Mr. Vioreanu has been looking after many of our Monkstown and Leinster junior rugby players for the past 18 months. Since I met Mihai I have seen a huge improvement in both the rehabilitation time and prognosis for our players. From using the most innovative surgical options to constantly being there for any post operative advice Mihai has done it all. Mihai has made a significant impact on our selection of players over the last 18 months as anyone we have sent to him has received the highest st
Read more
CHARTERED PHYSIOTHERAPIST
High level of communication
As a group of Chartered Physiotherapists, we are delighted to work with Mihai, who adopts a very pro-rehabilitation approach. What stands out about Mihai’s service is the high level of communication between surgeon, physiotherapist and patient, forming an essential chain of communication from the day of the first assessment through to the day of discharge.
Read more
PHYSICAL THERAPIST
Example of the modern surgeon
I contacted Mihai as I was interested in knowing more about how ACL surgery was done. I had rehabilitated plenty of ACL patients, some of which Mihai had operated on, but never saw a live surgery. It was a cold call and I wasn't expecting a reply as I had contacted other surgeons also without response. I received a prompt reply with an invitation to visit his OR and spend some time speaking to him about his surgical approach & his rehab protocols.
Read more
PHYSIOTHERAPY CLINIC
Very Accessible, highly skilled & excellent outcomes
East Coast Physio has been referring clients to Mr Vioreanu for the past number of years for a number of reasons. Mihai is very accessible to our patients (generally sees them within a week), has a very good bedside manner, and we trust his judgment in terms of whether surgery is really required or not.
Read more
CHARTERED PHYSIOTHERAPIST
Unique and Positive Professional approach
I highly recommend Mr Mihai Vioreanu to patients requiring an Orthopaedic opinion on Hip & Knee conditions. Patients report high satisfaction with the time taken to explain their condition and treatment options available. Mihai’s interest in collaborative postoperative care and rehabilitation is in my experience a unique and positive professional approach.
Read more
PHYSIOTHERAPIST
Excellent care, surgical technique and attention to detail
I wanted to send a note on behalf of both myself and my mother to say thank you for the excellent care that she has received from you. You performed a total hip replacement for my mum only four weeks ago. I honestly cannot believe how well Mum is doing - she has had no pain at all since her surgery. She is walking very, very well with her crutches with an excellent gait pattern for this stage of her recovery, and is managing her exercises without difficulty.
Read more
MDC PHYSIOTHERAPY
Open door for constant feed-back or queries
Mr Mihai Vioreanu has assessed and treated many of my patients since establishing his practice in Santry Sports Clinic with hugely positive feedback being returned. Patients report Mihai's explanations to treatment, whether that be surgical or conservative management, as being very thorough and clear while never feeling rushed during appointments.
Read more
CHARTERED PHYSIOTHERAPIST
I couldn't be happier with the results of my surgery
Several weeks after completing my undergraduate studies as a physiotherapist, I ruptured my ACL playing football. I knew the severity of the injury and felt I had a good grasp of its implications, but none the less I was nervous about the prospect of surgery and subsequent rehab. My physio recommended Mr Vioreanu as he had referred several patients to him for ACL surgery in the past and had received nothing but excellent feedback from them.
Read more
PHYSICAL THERAPIST
A Pure Gentleman
Just a quick email to thank you so much for allowing me into your theatre on Friday. I have to say it was amazing, I have never experienced anything like that before. Thank you for your generosity and kindness. You're a pure gentleman, and I know if any of my patients need knee surgery, they are in your safe hands.
Read more
MISCP, MSc. SPORTS & EX MED
Expert Assessment and Treatment
Mr Vioreanu is a surgeon who I am very comfortable in sending my patients to as I know exactly what to expect of his services. Each patient will receive an expert assessment and treatment with clear and concise information on rehabilitation conveyed to both the patient and also the referring practitioner. I highly recommend Mr Vioreanu’s services to all patients who require a skilled orthopaedic assessment.
Read more
ORTHOPAEDIC SURGEON
Excellent speaker and person in general
I met Mr. Vioreanu in a Congress held in Corfu, Greece where he was an invited speaker of the Chairman Dr. Georgoulis. Mr. Vioreanu presented on the topic about meniscal preservation. He gave an inspiring talk that I will remember for a long time and included all the necessary basics but also points such as: "Meniscectomy is a devastating procedure, much more than ACL reconstruction is".
Read more
ORTHOPAEDIC SURGEON
Exceptionally Professional and efficient Surgical Team
I visited Mr. Mihai Vioreanu at Sport Surgery Clinic Santry, as a visiting surgeon for one week in May 2017.It was a great surgical, professional and personal experience to participate at many high level surgical interventions including ACL reconstructions, meniscal repairs, and knee and hip replacements performed by Mr. Mihai Vioreanu.
Read more
ORTHOPAEDIC SURGEON
" I loved my experience at the clinic "
Mihai is an open minded surgeon, with great professional knowledge that he shares with great pleasure.
Read more
Share this page